Skip to main content

From Fundamental Sciences to Clinical Translation

fundamental-sciences
Fundamental sciences
divider-fundamental

Experimental Outline

einstein.
Experimental Outline
divider-fundamental

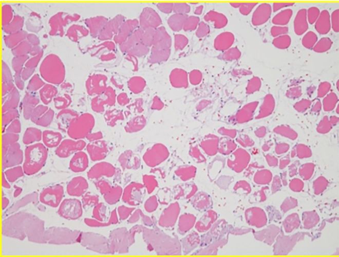
Histology

histology

Histological Sections • Cellular Architecture • Tissue Response

Chemistry

chemistry

pKa Modulation • Aromatic Compounds • Chemical Stability

Mechanism of Action

mecanism-action

Integrated Biological Response • Metabolic Pathways

Molecular Biology

molecular-biology

Intracellular Signaling • Molecular Regulation

Physiology

physiology

Neuromuscular Physiology • Functional Anatomy

Cadaveric Study

lab of anatomy

Anatomical Correlation • Human Cadaveric Analysis